Somos un laboratorio de Anatomía Patológica con larga trayectoria en la región.
Nuestro objetivo es brindar un servicio médico de calidad aportando diagnósticos de certeza para el tratamiento, manejo y pronóstico de las enfermedades, trabajando en conjunto de manera interdisciplinaria con nuestros colegas.
La toma de biopsia es un procedimiento médico que consta de una recolección de muestra de un tejido para estudio microscópico y diagnóstico por parte del médico patólogo.
Este examina los fragmentos tisulares para determinar la presencia de patologías benignas o malignas en el contexto integral (clínico-imagenológico) del paciente.
Con esta información el médico tratante puede instaurar un tratamiento oportuno y adecuado para cada caso.
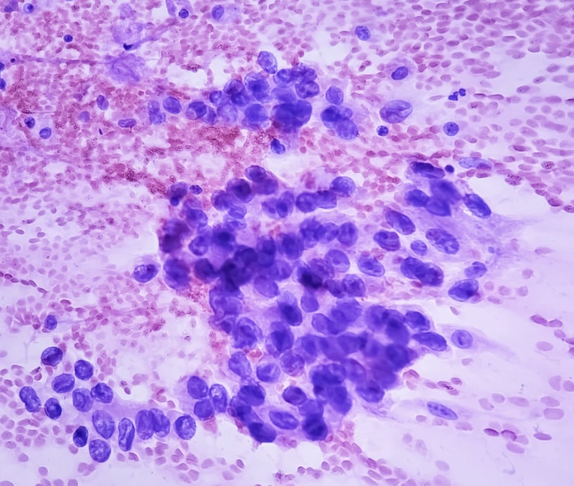
Se basa en el estudio de células obtenidas por un proceso técnico a partir de líquidos corporales (pleural, ascitico, lavados, orina, secreciones, etc.), con el fin de determinar alteraciones citopáticos vinculables a patologías benignas (infecciosas/reactivas) o malignas.
Con esta información el médico tratante puede plantear el manejo clínico, seguimiento de patologías y determinar tratamiento oportuno y adecuado en cada caso.
Es un estudio que consiste en analizar las células del cuello uterino con el fin de detectar posibles alteraciones, lesiones precancerosas o signos tempranos de cáncer de cuello uterino.
Se realiza de manera preventiva dentro de los controles ginecológicos periódicos, y permite identificar cambios celulares antes de que se desarrollen enfermedades graves. Su detección temprana es fundamental para garantizar un tratamiento oportuno y efectivo.
El médico patólogo se dirige al sitio de toma de biopsia/muestra para control intraprocedimiento de calidad de material como así también para dar respuesta y eventualmente un diagnóstico rápido de ser posible durante procedimientos invasivos.
Sugerimos consultar mediante nuestros canales de comunicación para mayor información.
Es una técnica complementaria al estudio histológico que lo combina con inmunología para detectar y localizar proteinas específicas que permiten identificar estirpes tumorales, clasificarlas, determinar pronóstico y también detectar infecciones (bacterias y virus). Proporciona un diagnóstico preciso, sirve para instaurar tratamientos personalizados y contribuye con los factores pronósticos de las patologías.
Cada muestra analizada refleja nuestro compromiso con la precisión y la confianza de miles de pacientes a lo largo de los años
Contribuimos activamente a la prevención y detección temprana de enfermedades, analizando muestras de controles ginecológicos de manera confiable
Médicos y especialistas de diferentes áreas eligen nuestro laboratorio por la calidad, la seguridad y la trayectoria que nos respaldan
-DNI del titular de la muestra.
- Aplicación de su obra social o la credencial digital en su teléfono celular.
Recomendamos que antes de traer la muestra verifique que la aplicación este instalada en el teléfono y funcione correctamente.
En el caso de que su estudio sea de Inmunohistoquimica, se requiere el consentimiento informado impreso y firmado, que puede descargarlo desde aquí
Deben entregarse conservadas en un líquido especial (formol al 10%).
Colocarlas dentro de un recipiente seguro (frasco o bolsa bien cerrada).
El recipiente debe estar rotulado con los siguientes datos:
Es importante que verifiques que el médico te entregue el recipiente con los siguientes datos rotulados en él:
- Nombre y apellido del paciente
- Tipo de material (ejemplo: biopsia, pieza operatoria, etc.)
- Además debe proveerte el papel con la indicación o pedido médico correspondiente al estudio que tenés que realizarte.
Antes de realizarse el estudio:
- No mantener relaciones sexuales 24 a 48 horas previas a la toma de la muestra.
- Evitar el uso de óvulos, cremas o duchas vaginales al menos 48 horas antes.
- No realizar el estudio durante el período menstrual.
Antes de retirarte del consultorio del profesional que realiza la muestra verificá:
- Que la muestra esté colocada en una lámina con líquido preservante.
- Que el recipiente que la contiene o la propia lámina debe estar correctamente rotulado con:
* Nombre y apellido del paciente
* Fecha de la toma de muestra
* Además debe entregarte el pedido médico correspondiente (suele ser en papel).
Este estudio se realiza durante una cirugía y requiere una coordinación especial entre el médico tratante y el equipo del laboratorio.
Los pacientes no necesitan gestionar este procedimiento, ya que la organización se realiza directamente entre los profesionales de salud. Solo tenés que asegurarte que el médico se haya puesto en contacto con nosotros (consultáselo a él), puesto que requiere coordinación previa a la fecha de la cirugía.
Nuestro laboratorio cuenta con equipamiento moderno y confiable que garantiza la calidad y seguridad en cada uno de los procesos. La tecnología aplicada en nuestras áreas de trabajo permite realizar estudios precisos y oportunos, cumpliendo con los más altos estándares de bioseguridad.
Aseguramos una adecuada gestión de las muestras desde su recepción hasta la obtención de resultados, minimizando riesgos de error y preservando su integridad. De esta manera, brindamos a nuestros pacientes y profesionales de la salud información confiable para una mejor toma de decisiones clínicas.
© Copyright 2025 - CEPAT - Todos los derechos reservados